Dr Mukesh chaupal dental

Dental lab & clinic
My youtube channel ЁЯШК





R.R dental lab
R R dental clinic
Delhi


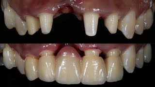
рдЬрд┐рди рджрд╛рдВрддреЛрдВ рдХреА рд╕рд╣рд╛рдпрддрд╛ рд╕реЗ рдирдП┬арджрд╛рдВрдд┬ардмрдирд╛рдП рдЬрд╛рддреЗ┬ард╣реИрдВ, рдЙрдиреНрд╣реЗрдВ рдереЛрдбрд╛ рдЫреЛрдЯрд╛ рдЖрдХрд░ рджреЗрдХрд░ рдкреБрдирдГ рдорд╛рдк рд▓рд┐рдпрд╛ рдЬрд╛рддрд╛ рд╣реИред рдлрд┐рд░ рддреБрд░рдВрдд рд╣реА рдбреЗрдВрдЯрд▓ рдкреНрд░рдпреЛрдЧрд╢рд╛рд▓рд╛ рдореЗрдВ рднреЗрдЬ рджрд┐рдпрд╛ рдЬрд╛рддрд╛ рд╣реИред рддрдХрдиреАрд╢рд┐рдпрди рдорд░реАрдЬрд╝ рдХреЗ рдорд╛рдк рдХреЗ рдЕрдиреБрд╕рд╛рд░┬арджрд╛рдВрдд┬ардХреЛ┬ардмрдирд╛рддреЗ рд╣реИрдВред реи рд╕реЗ рей рджрд┐рди рдмрд╛рдж┬арджрд╛рдВрдд┬ардмрдирдХрд░ рддреИрдпрд╛рд░ рд╣реЛ рдЬрд╛рддреЗ┬ард╣реИрдВ┬ардФрд░ рдорд░реАрдЬрд╝ рдХреЗ рдореБрдВрд╣ рдореЗрдВ рд▓рдЧрд╛ рджрд┐рдП рдЬрд╛рддреЗ┬ард╣реИрдВред


youtube.com/@DrMukeshchaupaldental


0:17

Shared 1 year ago

228 views

0:41

Shared 2 years ago

536 views

0:20

Shared 2 years ago

105 views

0:26

Shared 2 years ago

108 views